J Cardiovasc Thorac Res. 15(4):244-249.
doi: 10.34172/jcvtr.2023.32926
Original Article
Mechanical properties of the rabbit and human decellularized patches for well-tolerated/reinforced organ in cardiac tissue engineering
Maryam Mousavi Khatat Conceptualization, Data curation, Formal analysis, Writing – original draft, 1 
Saeideh Same Data curation, Formal analysis, Investigation, Writing – review & editing, 2 
Keyvan Moharamzadeh Investigation, Resources, Validation, 3
Jafar Soleimani Rad Methodology, 1
Ahmad Mehdipour Methodology, Validation, 1
Leila Roshangar Conceptualization, Project administration, Resources, Supervision, Validation, Visualization, 1, 4, * 
Author information:
1Department of Tissue Engineering, Faculty of Advanced Medical Sciences, Tabriz University of Medical Sciences, Tabriz, Iran
2Research Center of Pharmaceutical Nanotechnology, Tabriz University of Medical Sciences, Tabriz, Iran
3Hamdan Bin Mohammed College of Dental Medicine (HBMCDM), Mohammed Bin Rashid University of Medicine and Health Sciences (MBRU), Dubai, United Arab Emirates
4Department of Anatomy and Histology, Tabriz University of Medical Sciences, Tabriz, Iran
Abstract
Introduction:
Natural decellularized patches have been developed as the therapeutic platform for the treatment of different diseases, especially cardiovascular disorders. Decellularized scaffolds (as both cell-seeded and cell-free patches) are broadly studied in heart tissue redevelopment in vivo and in vitro. The designed regenerative bio-scaffold must have desirable physicochemical properties including mechanical stiffness for load-bearing, and appropriate anatomical characteristics to mimic the native biological environment properly and facilitate tissue reconstruction. In this context, the current study was designed to investigate rabbit decellularized derma’s similarity with human decellularized skin in terms of mechanical properties for cardiac tissue engineering application.
Methods:
Fifty two rabbit dermal specimens were provided and divided into two groups: the experimental (decellularized) group and the control (group). Similarly, twelve human skin specimens were divided into the experimental (decellularized) and control groups. Initially, the effect of decellularization on the mechanical performance of scaffolds was analyzed. Then, the mechanical strength of decellularized rabbit skin was compared to decellularized human derma by measuring the stress strain and Young’s modulus of the samples.
Results:
The results showed that rabbit decellularized skin has a similar elastic range to human decellularized skin, despite being more elastic (P>0.05). In addition, after decellularization, both rabbit and human skin showed a non-significant decrease in elasticity (P>0.05). It is worth noting that the elasticity reduction in rabbit samples after skin decellularization was lower than in human samples.
Conclusion:
According to the results of this study and the similarities of rabbit decellularized derm to human skin and its advantages over it, along with the biological complexity of native cardiac ECM, this scaffold can be used as an alternative matrix for tissue-engineered cardiac patches.
Keywords: Tensile strength, Mechanical strength, Tissue engineering, Decellular patch, Cardiac patches
Copyright and License Information
© 2023 The Author(s)
This is an open access article distributed under the terms of the Creative Commons Attribution License (
http://creativecommons.org/licenses/by/4.0/), which permits unrestricted use, distribution, and reproduction in any medium, provided the original work is properly cited.
Introduction
Millions of people across the globe are still at risk of heart disease, which continues to be a major health concern. Cardiomyocytes (CMs) in the adult mammalian heart lack the ability to regenerate and therefore cannot recover from ischemic injuries such as myocardial infarction (MI). Suffered from irreversible cardiac muscle death, CMs are replaced by fibrotic scar tissues over time. The loss of contractile capacity can lead to heart dysfunction and eventual failure. Developing new methods for regenerating the myocardium remains a difficult challenge. Cardiac tissue engineering is a novel approach to address organ shortages for transplants and heart disease treatment. Extensive studies have shown that cardiac patches can potentially restore cardiac function in a clinical setting. Patches consist of two parts: Drugs and scaffolds.1
Scaffolds provide physical and structural support for cell adhesion and tissue growth, requiring proper mechanical and hemodynamic performance and durability.2
Scaffolds can be made from either natural or synthetic materials. Although natural-origin scaffolds have superior cell substrate and biomolecule release performance, they generally lack optimal elasticity. Currently, natural scaffolds are derived from sources such as collagen, fibrin, and decellularized extracellular matrices.2
The fabrication of proper decellularized patches possessing the required mechanical and biological features has been addressed as an effective therapeutic approach for the targeted healing of damaged cardiac tissue. Recent studies demonstrated that the implantation of human- or animal-derived decellularized heart patches has stimulated the regeneration of cardiac tissue.3 Cardiomyocytes (CMs) maturation could be affected by many factors, such as mechanical forces, remodeling of ECM, and electrical stimulation.4 Previous studies emphasized that designed cardiac patches, especially small-scale patches, might not support sufficient mechanical or structural strength for sufficient cell promotion, which is necessary for successful clinical translation.5
Decellularization of non-autograft tissues has become very important in recent years. Removal of immunogenic cellular factors, preserving natural proteins and their protected genes in bio-matrix, and promotion of the possibility of cell differentiation to target cells are significant advantages of natural decellularized scaffolds that increase the rate of successful scaffold transplantation by downregulating the immune system stimulation against transplanted tissue and subsequent rejection.6,7 Also decellularized scaffolds do not have the problems of other synthetic scaffolds, such as the lack of biological complexity of the native cardiac ECM or the high cost of preparation. These biological decellularized scaffolds could be supplied from various tissues supply such as the skin dermis, small intestine, liver and bladder.8,9 Moreover, the mechanical properties of xenografts must be similar to the targeted tissue. The acellular dermal matrix (ADM) can be considered a new membrane for reconstructing mucosal defects.10 In a study, the efficacy and safety of ADM in patients with diabetic foot ulcers were evaluated. The results revealed that the wound healed completely, and the mean healing time was significantly shorter compared to standard care while the side effects were not significantly.11 In addition, Chen et al. found that severe burns could be treated with a dermal decellularized matrix which led to the commercialization of product.12 Importantly, studies that were subjected to applying the decellularized template have even been approved in pre-clinical trials and have been marketed as OASIS (small intestine of pigs) products.13,14 Despite ADM remarkable advantageous features for regeneration application, its optimal employment requires more in vivo animal and clinical studies.14 Selecting proper animal models and clinical studies could answer the suitability of designed bio-scaffold for effective transplantation more accurately.
As mentioned it is crucial to maintain the optimal stretch and mechanical tolerance of decellular scaffolds; There are studies that used the dermis as cardiac patches.15 However, due to its insufficient stretch, it has to be combined with synthetic scaffolds to form a composite patch. It is worth noting that rabbit skin is more elastic mechanically when compared to human or pig skin, and it appears that there is no existing study that has utilized decellularized rabbit skin as a cardiac patch material.
Referring to the high value of global rabbit marketing and industrial usage, the application of rabbit skin seems to be a suitable candidate for preparing skin bio-scaffolds with properties resembling those of human skins for tissue engineering. The bio-based platform designed for application in regenerative medicine must have appropriate physicochemical, mechanical, and anatomical potential to simulate the natural biological environment and support tissue redevelopment.16 In this context, the present study was planned to determine whether rabbit skin could serve as an alternative substitute for human tissue studies in terms of mechanical properties for clinical regenerative therapies. Therefore, the comparative effects of stretching between decellular rabbit skin tissue and human decellular skin were investigated. The schematic steps of performing the current work for analyzing the mechanical properties of rabbit and human skin samples are disclosed in Figure 1.
Figure 1.
Schematic illustration of the project process briefly. After sampling and decellularization of the rabbit and human skin, the mechanical strengths of the prepared specimens were determined and analyzed
Figure 1.
Schematic illustration of the project process briefly. After sampling and decellularization of the rabbit and human skin, the mechanical strengths of the prepared specimens were determined and analyzed
Materials and Methods
For Sample preparation, Dutch Belted rabbits weighing about 2.2 to 2.5 Kg were used to sample the rabbit’s skin. Sampling was performed two hours after the euthanization of rabbits. In total, 52 rabbit dermal samples were extracted from the back and sides of three rabbits. Then, the biopsied samples were cut into smaller pieces (5 × 5 cm), and half of them were entered into the decellularization process, randomly as the experimental group.
Human skin specimens were provided from the surplus skin in forensic medicine under the permission of the University Ethics Committee. The deceased candidates were aged 25 to 80 years, and regarding the limitation in size and number of the samples, only 12 human samples were prepared from the chest area. Similarly, some of them were run into the decellularization process, and the others were grouped as the controls.
The decellularization procedure was carried out according to the Tissue Engineering Laboratory of Tabriz University of Medical Sciences protocol. Briefly, the epidermis was removed, and the prepared decellularized dermis was soaked in PBS solution for 24 hours. The descriptive histology analysis of the decellularized samples was carried out upon Hematoxylin and Eosin staining (H&E staining). The decellularized specimens were kept in a fixation solution for 48 hours, embedded in paraffin, and then dehydrated with a graded alcohol series (50%, 70%, 90%, 96%, 100%) followed by sectioning steps. Finally, the sectioned tissues were stained with H&E staining and visualized with light microscopy imaging to observe the remained cell nuclei.
The stress-strain of decellularized sample tissues was determined using a Zwick tensile testing machine (Zwick / Roell, Z010) for four groups: decellularized rabbit dermis (26 samples), the control (26 samples: rabbit skin), the decellularized human dermis (six samples), and the control (six samples: human dermis). Each specimen was cut into 1 × 5 cm in length and fastened to two fixing clamps of the device. The test was carried out at an extension rate of 5 mm/min in the wet state. Values are mean ± SD (n = 3).
Statistical analysis
Statistical analysis was performed to evaluate the difference between the mean tensions of the control group and decellular samples and to examine the difference between the mean tension of rabbit and human dermis using independent sample unpaired t-test. Analyzes were performed using GraphPad Prism software version 9. The 95% confidence interval was considered a statistical significance level.
Results
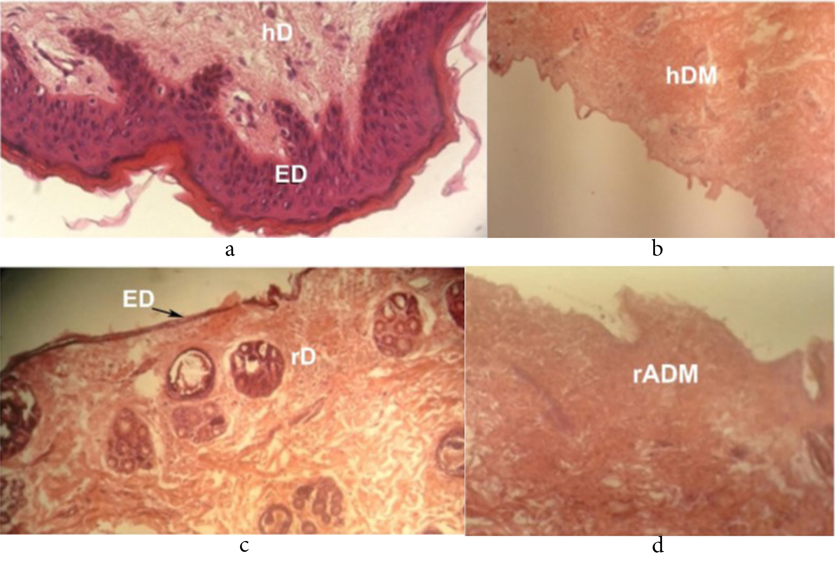
Histological analysis based on decellularization protocol showed that the applied method could remove a significant percentage of skin cells in both human and rabbit samples. According to Figure 2, by maintaining the scaffold, the cells that are influential in transplant rejection were effectively removed.
Figure 2.
Optical micrograph of Hematoxylin&Eosin staining of human specimens (a × 400 & b × 100 ) and rabbit specimens (c & d: × 40). a) Human Dermis (hD) and Epidermis (ED) before decellularization that Cells are visible. b) Human Acellular Dermal Matrix (hADM) after decellularization that Cells have been removed. c) Rabbit Dermis (rD) and epidermis (ED) before decellularization that Cells are visible. d) Rabbit Acellular Dermal Matrix (rADM) after decellularization that Cells have been removed.
Figure 2.
Optical micrograph of Hematoxylin&Eosin staining of human specimens (a × 400 & b × 100 ) and rabbit specimens (c & d: × 40). a) Human Dermis (hD) and Epidermis (ED) before decellularization that Cells are visible. b) Human Acellular Dermal Matrix (hADM) after decellularization that Cells have been removed. c) Rabbit Dermis (rD) and epidermis (ED) before decellularization that Cells are visible. d) Rabbit Acellular Dermal Matrix (rADM) after decellularization that Cells have been removed.
Young modulus was calculated for both control and decellularized groups in rabbits and humans. The data normality assumption was confirmed via the Kolmogorov-Smirnov test (P > 0.05). The result disclosed in Table 1 showed Mean Young’s modulus values obtained for decellularized derm of humans and rabbits and their control groups. In addition, to evaluate the difference between the mean tensions of the control group and decellular samples and to examine the difference between the mean tension of rabbit and human dermis used independent sample unpaired t-test. The results showed that the mean elasticity in the decellular skin groups of rabbit and human were lower than in their control group, but this change was not significant (P = 0.847 for rabbit and P = 0.275 for human). These results showed that decellularization had no significant effect on the elasticity of the groups (Figure 3b).To evaluate the difference in elasticity (tension) in rabbit and human decellularized scaffolds, Young’s modulus was calculated and compared. The results (Figure 4) confirmed that there was not any significant (P = 0.373) difference between the decellular dermis of human and rabbit, in spite of the lower mean elasticity in the rabbit decellular skin than human decellular dermis.
Table 1.
Mean Young's modulus values obtained for decellularized derm of humans and rabbits
|
Sample
|
Rabbit
|
Human
|
|
Control
|
Decellular
|
Control
|
Decellular
|
| Young Modulus (MPa) |
0.047 ± 0.023 |
0.038 ± 0.015 |
0.052 ± 0.039 |
0.031 ± 0.022 |
Figure 3.
Unpaired sample t-test results of mean Young modulus in a) humans (HD) and b) rabbit (RD) skin groups (P > 0.05)
Figure 3.
Unpaired sample t-test results of mean Young modulus in a) humans (HD) and b) rabbit (RD) skin groups (P > 0.05)
Figure 4.
Independent sample unpaired t-test results of mean Young modulus between humans (HD) and rabbit (RD) skin groups (P > 0.05)
Figure 4.
Independent sample unpaired t-test results of mean Young modulus between humans (HD) and rabbit (RD) skin groups (P > 0.05)
Discussion
The bio-based platform designed for application in regenerative medicine must have appropriate physicochemical and anatomical potential to simulate the natural biological environment and support tissue redevelopment.16,17 In this context, the current study was designed to investigate the similarity of rabbit decellularized derma with human decellularized skin in terms of mechanical strength for tissue engineering application. This study attempted to investigate the extent of rabbit skin elasticity as an alternative specimen in tissue engineering applications.
The most important result of the present study was that the stretch mean between decellularized human and rabbit skin did not show significant differences. Although a significant difference was not obtained, the amount of elasticity in decellularized rabbit skin was found to be higher. In addition, the similarity of tensile properties of rabbit and human decellular skin scaffolds was also compared.
The results revealed that applying decellularization process following the same method for both rabbit and human tissues reduced the amount of elasticity in both human and rabbit species. Although the difference was not significant, the elasticity decrease in rabbit decellularized skin was less than human skin.
The previous research reported different and changeable results regarding rabbit skin Young’s modulus and human skin Young’s modulus. The different tissue and biological properties including a person’s genetics and age, and the nature of the skin and the test conditions could be some of the main reasons for this alternation. For example, Koene et al. reported that Young’s modulus of human skin ranged from 0.02 to 0.3 MPa.18 Park et al also, reported a range of 0.006 to 0.0289 MPa for the Young modulus.19 These data suggest that the results obtained from the current study are in the reported and usual range. However, Jansen & Rottier’s reported a different Young’s modulus range (from 1.07 to 2.157 MPa) in comparison to the result of the present study which resulted in 0.052 ± 0.039 Young’s modulus for human skin.20 The alteration between these obtained values may be related to the different experimental conditions and variable equipment that were applied during the studies. In addition, the research performed by Jansen & Rottier’s research was conducted in 1958 with non-standardized samples where the sterilization process may have a sensible effect on the mechanical strength of scaffolds.21
Also, the duration of time elapsed after sampling was not considered and mentioned by these researchers. The time interval of sampling postmortem and sample separations from the primary tissue can affect the amount of skin elasticity.22,23 The current research work has attempted to perform as quickly as possible after sampling, and moisture of the samples was provided during the testing aiming to respond to the sensitivity of the applied tissue specimens to drought. A few studies have been considered or reported to fulfill these mentioned cases previously.
In this study, although we introduced that rabbit-ADM has a similarity to human-ADM in terms of elasticity (young modulus), there are limitations worth noting. According to research reports, various factors can affect the amount of skin elasticity, including the location and position of the sampling which could reduce the possibility of generalization. of the results.24,25 In this study, to limit the effect of this factor, all human samples were collected from almost a single position.
Also, there are not any underlying tissues such as subcutaneous fat in the rabbit skin, which is a relatively thick layer in the human dermis. The literature evidenced that subcutaneous fat could affect the rate of skin contraction.20 Therefore, subcutaneous fat was removed to evaluate only the dermis by providing similarity between both species. Future research s should focus on the investigation of the biocompatibility effects of this animal scaffold on a cellular basis in order to provide the all required parameters for replacing this prepared tissue template with tissue-engineered scaffolds.
Conclusion
The study revealed that rabbit decellularized skin has a similar elastic range to human decellularized skin, despite being more elastic. In addition, after decellularization, both rabbit and human skin showed a non-significant decrease in elasticity. It is worth noting that the elasticity reduction in rabbit samples after skin decellularization was lower than in human samples. Hence, due to its similarities to human skin and its advantages over it, along with its biological complexity of the native cardiac ECM, this scaffold can be implemented as an alternative matrix for tissue engineering investigations.
Ethical Approval
Necessary permissions to conduct research were obtained from the ethics committee of Tabriz University of Medical Sciences (IR.TBZMED.REC.1397.143). The research was conducted in accordance with the Declaration of Helsinki.
Competing Interests
Authors declare that they have no conflict of interest.
Funding
This study was funded by Tabriz medical University of Sciences (Grant number: IR.TBZMED.REC.1397.143).
References
- Mei X, Cheng K. Recent development in therapeutic cardiac patches. Front Cardiovasc Med 2020; 7:610364. doi: 10.3389/fcvm.2020.610364 [Crossref] [ Google Scholar]
- Meyer U, Meyer T, Handschel J, Wiesmann HP. Fundamentals of Tissue Engineering and Regenerative Medicine. 1st ed. Vol 2. Springer Science & Business Media; 2009. p. 190-3.
- Taylor DA, Parikh RB, Sampaio LC. Bioengineering hearts: simple yet complex. Curr Stem Cell Rep 2017; 3(1):35-44. doi: 10.1007/s40778-017-0075-7 [Crossref] [ Google Scholar]
- Scuderi GJ, Butcher J. Naturally engineered maturation of cardiomyocytes. Front Cell Dev Biol 2017; 5:50. doi: 10.3389/fcell.2017.00050 [Crossref] [ Google Scholar]
- Tenreiro MF, Louro AF, Alves PM, Serra M. Next generation of heart regenerative therapies: progress and promise of cardiac tissue engineering. NPJ Regen Med 2021; 6(1):30. doi: 10.1038/s41536-021-00140-4 [Crossref] [ Google Scholar]
- Keane TJ, Londono R, Turner NJ, Badylak SF. Consequences of ineffective decellularization of biologic scaffolds on the host response. Biomaterials 2012; 33(6):1771-81. doi: 10.1016/j.biomaterials.2011.10.054 [Crossref] [ Google Scholar]
- Rupert P. Human acellular dermal wound matrix for complex diabetic wounds. J Wound Care 2016; 25(4):S17-21. doi: 10.12968/jowc.2016.25.Sup4.S17 [Crossref] [ Google Scholar]
- Hughes OB, Rakosi A, Macquhae F, Herskovitz I, Fox JD, Kirsner RS. A review of cellular and acellular matrix products: indications, techniques, and outcomes. Plast Reconstr Surg 2016; 138(3 Suppl):138S-47S. doi: 10.1097/prs.0000000000002643 [Crossref] [ Google Scholar]
- Brown BN, Barnes CA, Kasick RT, Michel R, Gilbert TW, Beer-Stolz D. Surface characterization of extracellular matrix scaffolds. Biomaterials 2010; 31(3):428-37. doi: 10.1016/j.biomaterials.2009.09.061 [Crossref] [ Google Scholar]
- Li P, Li S, Yang X, Tang Q, He X, Wang S. Application of xenogenic acellular dermal matrix in reconstruction of oncological hypopharyngeal defects. Eur Arch Otorhinolaryngol 2016; 273(12):4391-6. doi: 10.1007/s00405-016-4088-0 [Crossref] [ Google Scholar]
- Guo X, Mu D, Gao F. Efficacy and safety of acellular dermal matrix in diabetic foot ulcer treatment: a systematic review and meta-analysis. Int J Surg 2017; 40:1-7. doi: 10.1016/j.ijsu.2017.02.008 [Crossref] [ Google Scholar]
- Chen SG, Tzeng YS, Wang CH. Treatment of severe burn with DermACELL®, an acellular dermal matrix. Int J Burns Trauma 2012; 2(2):105-9. [ Google Scholar]
- Badylak SF, Freytes DO, Gilbert TW. Extracellular matrix as a biological scaffold material: structure and function. Acta Biomater 2009; 5(1):1-13. doi: 10.1016/j.actbio.2008.09.013 [Crossref] [ Google Scholar]
- Zhang J, Wang GY, Xiao YP, Fan LY, Wang Q. The biomechanical behavior and host response to porcine-derived small intestine submucosa, pericardium and dermal matrix acellular grafts in a rat abdominal defect model. Biomaterials 2011; 32(29):7086-95. doi: 10.1016/j.biomaterials.2011.06.016 [Crossref] [ Google Scholar]
- Hong Y, Huber A, Takanari K, Amoroso NJ, Hashizume R, Badylak SF. Mechanical properties and in vivo behavior of a biodegradable synthetic polymer microfiber-extracellular matrix hydrogel biohybrid scaffold. Biomaterials 2011; 32(13):3387-94. doi: 10.1016/j.biomaterials.2011.01.025 [Crossref] [ Google Scholar]
- Klimek K, Ginalska G. Proteins and peptides as important modifiers of the polymer scaffolds for tissue engineering applications-a review. Polymers (Basel) 2020; 12(4):844. doi: 10.3390/polym12040844 [Crossref] [ Google Scholar]
- Ghavami A, Roshanravan N, Alipour S, Barati M, Mansoori B, Ghalichi F. Assessing the effect of high-performance inulin supplementation via KLF5 mRNA expression in adults with type 2 diabetes: a randomized placebo controlled clinical trial. Adv Pharm Bull 2018; 8(1):39-47. doi: 10.15171/apb.2018.005 [Crossref] [ Google Scholar]
- Koene B, Id-Boufker F, Papy A. Kinetic non-lethal weapons. In: Hupkens T, Monsuur H, eds. Netherlands Annual Review of Military Studies (NL ARMS). Kinetic Non-Lethal Weapons. 2008:9-24.
- Park S, Tao J, Sun L, Fan CM, Chen Y. An economic, modular, and portable skin viscoelasticity measurement device for in situ longitudinal studies. Molecules 2019; 24(5):907. doi: 10.3390/molecules24050907 [Crossref] [ Google Scholar]
- Jansen LH, Rottier PB. Comparison of the mechanical properties of strips of human abdominal skin excised from below and from above the umbilic. Dermatologica 1958; 117(4):252-8. doi: 10.1159/000255597 [Crossref] [ Google Scholar]
- Conrad BP, Rappé M, Horodyski M, Farmer KW, Indelicato PA. The effect of sterilization on mechanical properties of soft tissue allografts. Cell Tissue Bank 2013; 14(3):359-66. doi: 10.1007/s10561-012-9340-2 [Crossref] [ Google Scholar]
- Karimi A, Rahmati SM, Navidbakhsh M. Mechanical characterization of the rat and mice skin tissues using histostructural and uniaxial data. Bioengineered 2015; 6(3):153-60. doi: 10.1080/21655979.2015.1036202 [Crossref] [ Google Scholar]
- Münker T, van de Vijfeijken S, Mulder CS, Vespasiano V, Becking AG, Kleverlaan CJ. Effects of sterilization on the mechanical properties of poly(methyl methacrylate) based personalized medical devices. J Mech Behav Biomed Mater 2018; 81:168-72. doi: 10.1016/j.jmbbm.2018.01.033 [Crossref] [ Google Scholar]
- Haut RC. The effects of orientation and location on the strength of dorsal rat skin in high and low speed tensile failure experiments. J Biomech Eng 1989; 111(2):136-40. doi: 10.1115/1.3168354 [Crossref] [ Google Scholar]
- Sugihara T, Ohura T, Homma K, Igawa HH. The extensibility in human skin: variation according to age and site. Br J Plast Surg 1991; 44(6):418-22. doi: 10.1016/0007-1226(91)90199-t [Crossref] [ Google Scholar]