J Cardiovasc Thorac Res. 13(3):258-262. doi: 10.34172/jcvtr.2021.16Case Report
Expanding spontaneous pneumothorax in COVID-19 pneumonia: Case report and review of literature
Afshin Mohammadi 1
, Behdad Boroofeh 2, Alisa Mohebbi 3, Mohammad Mirza-Aghazadeh-Attari 4, *
1Department of Radiology, Urmia University of Medical Sciences, Urmia, Iran
2Department of Internal Medicine, Urmia University of Medical Sciences, Urmia, Iran
3Students’ Scientific Research Center, Tehran University of Medical Sciences, Tehran, Iran
4Medical Radiation Sciences Research Center, Tabriz University of Medical Sciences, Tabriz, Iran
*Corresponding Author: Mohammad Mirza-Aghazadeh-Attari, Email: [email protected]
Abstract
Coronavirus disease 2019 has presented itself with a variety of clinical signs and symptoms. One of these has been the accordance of spontaneous pneumothorax which in instances has caused rapid deterioration of patients. Furthermore pneumothorax may happen secondary to intubation and the resulting complications. Not enough is discussed regarding cases with COVID-19 related pneumothorax and proper management of these patients. The present article reports an elderly patient with spontaneous pneumothorax secondary to COVID-19 and reviews the existing literature.
Keywords: CT, Chest, Pneumothorax, COVID-19
Copyright
© 2021 The Author(s)
This is an open access article distributed under the terms of the Creative Commons Attribution License (
http://creativecommons.org/licenses/by/4.0/), which permits unrestricted use, distribution, and reproduction in any medium, provided the original work is properly cited.
Introduction
The severe acute respiratory syndrome – coronavirus-2 (SARS-CoV-2) causes various clinical signs and symptoms but usually presents itself as a mild form of viral pneumonitis. Epidemiologic studies have shown that although most cases of those infected with the virus do not show severe signs or symptoms.
1
However, pediatric and the elderly, and individuals with pre-existing conditions are at increased risk of respiratory distress syndrome, inappropriate immune responses, and other un-common manifestations of the disease.
2
Studies focusing on those mentioned above demographic have suggested that they manifest specific radiologic signs and clinical scenarios, which can make diagnostic workup and clinical decision making complicated.
Chest CT has been one of the most prominent diagnostic tools available for clinicians, yielding a higher sensitivity than other diagnostic methods, such as molecular assays. The collective findings in chest CT of infected individuals consist of multi-focal ground-glass opacities, airspace consolidation, and air-Bronchogram. Nevertheless, other unusual imaging signs are also reported, such as nodular lesions, cavities, tree-in-bud appearances, halo and reverse halo signs, and more.
3
One of the rarely mentioned radiologic findings has been visible visceral pleural edges and non-existent lung markings on the periphery of the lungs, which is suggestive of pneumothorax.
4
In the present case report, we discuss an elderly male patient who developed spontaneous pneumothorax secondary to COVID-19.
Case Presentaion
An 82-year-old male, with a history of coronary artery disease, presented to our emergency ward with low-grade fever, dyspnea and cough. The patient had a respiratory rate of 21, pulse rate of 90 and blood pressure of 135/80 on admission. Pulse oximetry revealed a blood O2 saturation of 87%. The patient did not smoke, did not have any pre-existing respiratory disease and had an active lifestyle.
The patient was then visited by an internal medicine specialist and underwent diagnostic workup for COVID-19. Lab results were otherwise typical except a mild lymphopenia (1100 /mm3)
The initial CT scan obtained on the first day of admission () showed a uni-focal peripheral ground-glass opacity in the middle segments of the right lung. A small linear line of non-existent lung texture was visible on the left lung periphery. Based on institutional guidelines, the patient was admitted, and conservative management was chosen for the pneumothorax, and the initial estimation of its size was 7% of the hemi-thoracic cavity. The results of the molecular assay obtained on the first day of admission came back positive on the third day. The patient was put on hydroxychloroquine 200 twice daily, ceftriaxone 500 mg daily and Tamiflu 75 mg twice daily. He was also given steroids (prednisolone, 40 mg, IV). The patient had a stable clinical course until the fifth day of hospitalization when the patient reported an aggregation of dyspnea and emergence of dull chest pain, localized in the periphery of the left hemithorax. The patient had an ECG took, which was normal, Troponin-I was negative, Vital signs were stable, and emergency consultation with a cardiologist did not yield any further results. Physical examination yielded no positive findings other than a mildly reduced respiration sounds on the left hemithorax.
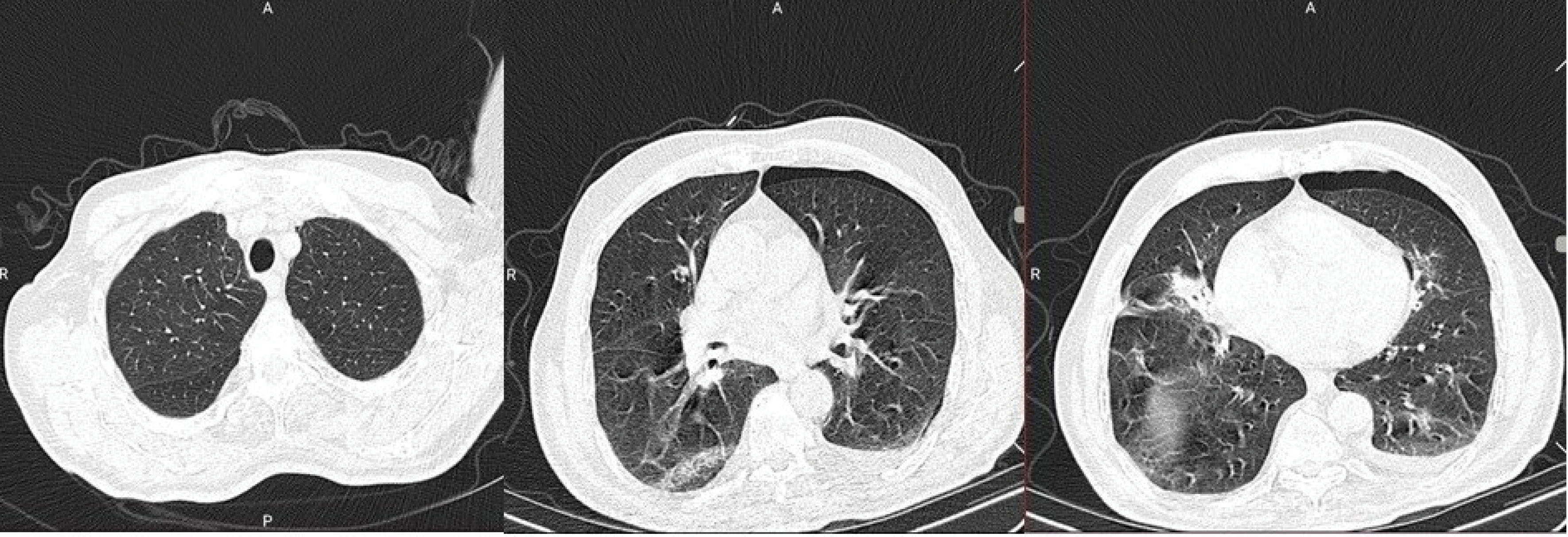
Figure 1.
First Chest CT of the patient showing posterior-peripheral ground-glass opacities, with a thin radiolucent line presenting a small pneumothorax. The patient had minimal involvement in the apex of the lungs, and involvement was mostly observed in the bases
The patient had a chest X-ray performed which showed signs of pneumothorax, with a barely visible reduced lung marking in the periphery of the left lung. The patient had a second CT imaging done (), which showed a radiolucent peripheral space, a grossly visible visceral pleural edge and absent lung markings in the periphery. The diagnosis of an expanding pneumothorax was established, and utilizing the Colling’s method, the percentage of the pneumothorax was estimated to be 25.3%. The patient had an urgent consultation done with the pulmonology department, which recommended that a chest tube be inserted. The patient was stable after insertion of the chest tube, and had a complete absorption of the pneumothorax, and was discharged six days after the insertion of the chest tube.
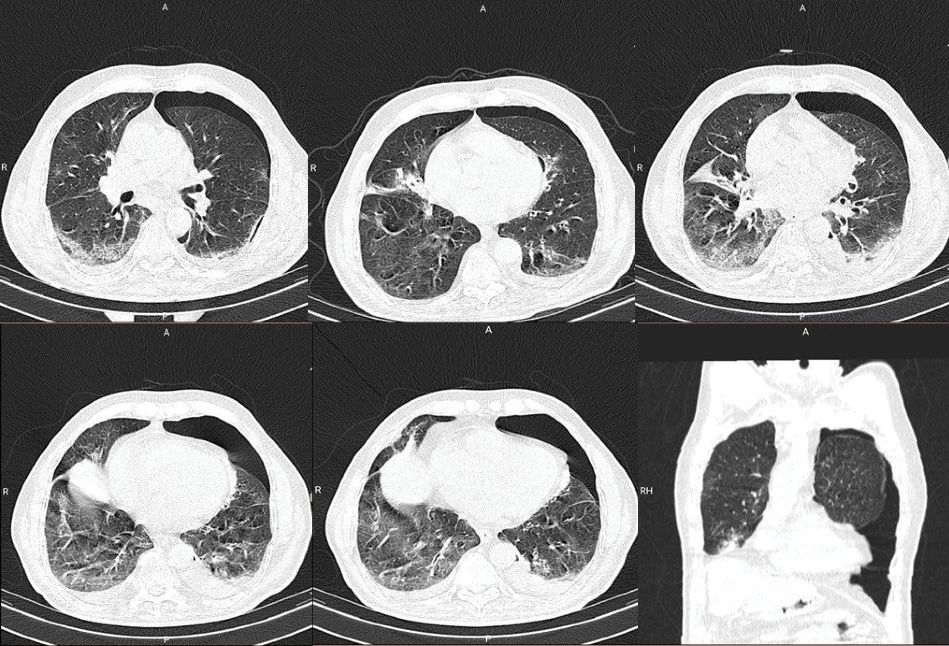
Figure 2.
Second CT of the patient taken after a rapid deterioration in clinical signs and symptoms. The pneumothorax had extended beyond its original boundaries and occupied over one-fifth of the thoracic cavity, which warranted insertion of a chest tube. Ground-glass-opacities also increased in size and frequency over the time between the two chest CTs
Discussion
Early studies being reported from china showed that most patients infected with the novel coronavirus had conventional signs of viral pneumonia. However, as the virus spread, more scholars pointed out the rare complication of the infection, such as neurovascular and dermatologic involvement, and significant involvement of the respiratory tract. Probably the two most important of these complications have been pulmonary thromboembolism and pneumothorax. These phenomena can complicate a patient with pre-existing respiratory compromise, and as they may mimic clinical signs of the coronavirus, timely diagnosis may prove to be a challenge.
Until the day this manuscript is being written, a limited number of pneumothoraxes have been reported in the setting of COVID-19. Based on aetiology, pneumothorax can be classified into two main groups, spontaneous and Iatrogenic/traumatic. The first group can be further classified to primary and secondary spontaneous. Primary spontaneous pneumothorax happens in individuals with no pre-disposing lung condition, and secondary spontaneous pneumothorax is defined as having a pneumothorax secondary to specific pathologies of the respiratory system, such as the existence of bullae, emphysema, etc. scholars suggest that COVID-19 can cause pneumothorax in several ways. It can cause excessive coughing, which can cause pneumothorax, and also can directly invade the alveoli, induce inflammation and damage the delicate respiratory epithelium. COVID-19 can form cystic lesions, increasing the risk of pneumothorax.
5
A review of the literature revealed 18 discrete cases of pneumothorax in the setting of COVID-19 (Table 1). Most of the patients were elderly male with pre-existing conditions, with left-sided or bilateral pneumothorax. Older women were less involved. Importantly, a substantial number of young adults existed among the patients. Most of the authors declared that they treated their patients with chest tube insertion. This could have resulted from delayed diagnosis, as the clinical picture may be blurred by COVID-19. We also report an elderly patient infected with COVID-19 who had a pneumothorax and possibly misdiagnosed in the early stages. Any rapid deterioration of COVID-19 infected individuals should prompt a diagnostic workup towards pulmonary thromboembolism and pneumothorax. Clinical studies show that detecting pneumothorax in the elderly may be a challenge, as it is less symptomatic, may not be associated with pleuritic chest pain. Furthermore, a pneumothorax may have deleterious effects in the elderly compared to younger patients.
20
Table 1.
List of previous case reports of COVID-19 complicated with pneumothorax
|
Reference
|
Post Intubation
|
History of trauma
|
Gender
|
Age
|
Pre-existing conditions
|
Initial presentation on admission
|
Side
|
Treatment
|
Other Radiologic signs
|
|
5
| No | No | Male | 24 | None | Yes | Left | tube thoracostomy | GGO |
|
6
| No | Yes (falling on right side) | Male | 55 | None | No | Bilateral | Chest tube insertion | GGO, Consolidation |
|
7
| No | No | Male | 62 | None | No | Right | Conservative | GGO, pneumomediastinum, |
|
3
| No | No | Male | 38 | binaural hearing loss and tinnitus | No | Left | Conservative | GGO, consolidation, mediastinal emphysema, giant bulla, |
|
8
| No | No | Male | 36 | 10 p/y smoking, childhood asthma | Yes | Left | emergency needle decompression and then chest tube insertion | GGO |
|
4
| No | No | Male | 26 | None | Yes | Right | Chest tube insertion | Collapse |
|
9
| No | No | Male | 38 | Heavy smoker, excess alcohol consumption | No | Left | Conservative | GGO, consolidation |
|
10
| Yes | No | Male | 70 | N/A | No | Left | Chest tube insertion,,Video-assisted thoracoscopic surgery) | GGO |
|
10
| Yes | No | Male | 56 | Heavy smoker, | No | Left | Video-assisted thoracoscopic surgery following a failed chest tube | GGO |
|
11
| No | No | Female | 82 | No | Yes | Left | Chest tube insertion | pneumomediastinum, left-sided massive pneumothorax and subcutaneous emphysema |
|
12
| No | No | Male | 87 | COPD | Yes | Left | Chest tube insertion | Collapse, GGO, consolidation |
|
13
| No | No | Male | 67 | N/A | Yes | Bilateral | Chest tube insertion | GGO, pneumomediastinum |
|
13
| No | No | Female | 84 | prosthetic valve replacement, renal failure, Heart failure, hypertension, hypercholesterolemia | No | Bilateral | N/A | GGO, pneumomediastinum |
|
14
| Yes | No | Male | 59 | decompensated cirrhosis, liver transplantation | No | N/A | Chest tube insertion | GGO |
|
15
| Yes | No | Female | 59 | Morbid obesity | No | Right | Surgical intervention | GGO, pneumomediastinum |
|
16
| Yes | No | Male | 67 | coronary artery bypass, tuberculosis, chronic bronchitis, and emphysema | No | Bilateral | Chest tube insertion | Subcutaneous emphysema, mediastinal emphysema, GGO |
|
17
| Yes | No | Male | 31 | smoker | No | N/A | N/A | GGO |
|
18
| yes | No | Female | 70 | none | No | N/A | N/A | GGO |
|
19
| No | No | Male | 41 | None | Yes | Left | Chest tube insertion | GGO, pneumomediastinum. subcutaneous emphysema |
Of interest, pneumothorax has been seen in the setting of COVID-19 in neonates delivered from infected mothers. Although the relationship is not defined, and the occurrence of pneumothorax could be related to prenatal complications.
21
Currently, contradicting evidence exists regarding the proper management of a symptom-free pneumothorax, but some studies do show conservative management to be non-inferior to invasive interventions.
22
The limited evidence existent in regards to COVID-19 associated pneumonia favor the early utilization of more invasive methods.
Conclusion
COVID-19 associated spontaneous pneumothorax may have an inclination to progress and cause severe deterioration. Prompt management with chest tube insertion seems to be superior to conservative management, especially in high-risk demographic groups such as the elderly.
Competing interests
The authors declare no conflict of interest.
Ethical approval
This study was approved by the local ethics committee of Urmia University of Medical Sciences. The patient had signed a written informed consent note.
References
- Zhou F, Yu T, Du R, Fan G, Liu Y, Liu Z. Clinical course and risk factors for mortality of adult inpatients with COVID-19 in Wuhan, China: a retrospective cohort study. Lancet 2020; 395(10229):1054-1062. doi: 10.1016/s0140-6736(20)30566-3 [Crossref]
- Mohammadi A, Mohebbi I, Khademvatani K, Pirnejad H, Mirza-Aghazadeh J, Gharebaghi N. Clinical and radiological characteristics of pediatric patients with COVID-19: focus on imaging findings. Jpn J Radiol 2020; 38(10):987-992. doi: 10.1007/s11604-020-01003-6 [Crossref]
- Sun R, Liu H, Wang X. Mediastinal emphysema, giant bulla, and pneumothorax developed during the course of COVID-19 pneumonia. Korean J Radiol 2020; 21(5):541-544. doi: 10.3348/kjr.2020.0180 [Crossref]
- Rohailla S, Ahmed N, Gough K. SARS-CoV-2 infection associated with spontaneous pneumothorax. CMAJ 2020; 192(19):E510. doi: 10.1503/cmaj.200609 [Crossref]
- Aydın S, Öz G, Dumanlı A, Balcı A, Gencer A. A case of spontaneous pneumothorax in COVID-19 pneumonia. J Surg Res 2020; 3(2):96-101. doi: 10.26502/jsr.10020060 [Crossref]
- Pinotti E, Montuori M, Carissimi F, Baronio G, Ongaro D, Mauri G. Massive bilateral pneumothorax associated with COVID-19 pneumonia. Open J Clin Med Case Rep 2020; 6(7):1648.
- Wang W, Gao R, Zheng Y, Jiang L. COVID-19 with spontaneous pneumothorax, pneumomediastinum and subcutaneous emphysema. J Travel Med 2020; 27(5):taaa062. doi: 10.1093/jtm/taaa062 [Crossref]
- Flower L, Carter JL, Rosales Lopez J, Henry AM. Tension pneumothorax in a patient with COVID-19. BMJ Case Rep 2020; 13(5):e235861. doi: 10.1136/bcr-2020-235861 [Crossref]
- Lyu R, Li X. Diagnosis and treatment of severe COVID-19 complicated with spontaneous pneumothorax: a case report. Advanced Ultrasound in Diagnosis and Therapy 2020; 4(2):142-146. doi: 10.37015/audt.2020.200019 [Crossref]
- Aiolfi A, Biraghi T, Montisci A, Bonitta G, Micheletto G, Donatelli F. Management of persistent pneumothorax with thoracoscopy and bleb resection in COVID-19 patients. Ann Thorac Surg 2020; 110(5):e413-e415. doi: 10.1016/j.athoracsur.2020.04.011 [Crossref]
- Ucpinar BA, Sahin C, Yanc U. Spontaneous pneumothorax and subcutaneous emphysema in COVID-19 patient: case report. J Infect Public Health 2020; 13(6):887-889. doi: 10.1016/j.jiph.2020.05.012 [Crossref]
- Poggiali E, Vercelli A, Iannicelli T, Tinelli V, Celoni L, Magnacavallo A. COVID-19, chronic obstructive pulmonary disease and pneumothorax: a frightening triad. Eur J Case Rep Intern Med 2020; 7(7):001742. doi: 10.12890/2020_001742 [Crossref]
- López Vega JM, Parra Gordo ML, Diez Tascón A, Ossaba Vélez S. Pneumomediastinum and spontaneous pneumothorax as an extrapulmonary complication of COVID-19 disease. Emerg Radiol 2020; 27(6):727-730. doi: 10.1007/s10140-020-01806-0 [Crossref]
- Huang JF, Zheng KI, George J, Gao HN, Wei RN, Yan HD. Fatal outcome in a liver transplant recipient with COVID-19. Am J Transplant 2020; 20(7):1907-1910. doi: 10.1111/ajt.15909 [Crossref]
- Abou-Arab O, Huette P, Berna P, Mahjoub Y. Tracheal trauma after difficult airway management in morbidly obese patients with COVID-19. Br J Anaesth 2020; 125(1):e168-e170. doi: 10.1016/j.bja.2020.04.004 [Crossref]
- Xiang C, Wu G. SARS-CoV-2 pneumonia with subcutaneous emphysema, mediastinal emphysema, and pneumothorax: a case report. Medicine (Baltimore) 2020; 99(20):e20208. doi: 10.1097/md.0000000000020208 [Crossref]
- Bloemen H, Hagmolen Of Ten Have W, Clappers-Gielen GAL. [Chest pain and dyspnea during the recovery period of COVID-19 pneumonia]. Ned Tijdschr Geneeskd 2020; 164:D5095.
- Sher Y, Rabkin B, Maldonado JR, Mohabir P. COVID-19-associated hyperactive intensive care unit delirium with proposed pathophysiology and treatment: a case report. Psychosomatics 2020; 61(5):544-550. doi: 10.1016/j.psym.2020.05.007 [Crossref]
- Brogna B, Bignardi E, Salvatore P, Alberigo M, Brogna C, Megliola A. Unusual presentations of COVID-19 pneumonia on CT scans with spontaneous pneumomediastinum and loculated pneumothorax: a report of two cases and a review of the literature. Heart Lung 2020; 49(6):864-868. doi: 10.1016/j.hrtlng.2020.06.005 [Crossref]
- Liston R, McLoughlin R, Clinch D. Acute pneumothorax: a comparison of elderly with younger patients. Age Ageing 1994; 23(5):393-395. doi: 10.1093/ageing/23.5.393 [Crossref]
- Schwartz DA. An analysis of 38 pregnant women with COVID-19, their newborn infants, and maternal-fetal transmission of SARS-CoV-2: maternal coronavirus infections and pregnancy outcomes. Arch Pathol Lab Med 2020. doi: 10.5858/arpa.2020-0901-SA [Crossref]
- Brown SGA, Ball EL, Perrin K, Asha SE, Braithwaite I, Egerton-Warburton D. Conservative versus interventional treatment for spontaneous pneumothorax. N Engl J Med 2020; 382(5):405-415. doi: 10.1056/NEJMoa1910775 [Crossref]